Choroba Hashimoto u dziecka
Philips Lumify

Philips Lumify
Przypadek kliniczny

lumify newsletter

Zapisz się do newslettera, aby otrzymywać więcej treści edukacyjnych

Przypadek: Choroba Hashimoto u dziecka


Jak często choroba Hashimoto występuje u dzieci? Czy obraz usg choroby Hashimoto u dzieci jest inny niż u dorosłych?

 

Zaniepokojona matka zgłosiła się do lekarza rodzinnego z 12-letnią córką, która od kilku miesięcy zaczęła szybciej przybierać na wadze, miała wyraźnie obniżony nastrój i skarżyła się na ciągłe uczucie zmęczenia. Lekarz uzupełnił wywiad, zbadał pacjentkę i – zanim wypisał skierowania na badania laboratoryjne - wyjął z szuflady głowicę liniową Philips Lumify, aby potwierdzić swoje wstępne przypuszczenia…

Przekrój poprzeczny przez płaty tarczycy. Widoczna obniżona i niejednorodna echogeniczność miąższu tarczycy. Głowica liniowa Philips Lumify

Przekrój podłużny przez prawy płat tarczycy. Głowica liniowa Philips Lumify.

Pogrubiała cieśń tarczycy. Głowica liniowa Philips Lumify.

Węzeł chłonny widoczny poniżej bieguna dolnego tarczycy. Głowica liniowa Philips Lumify.

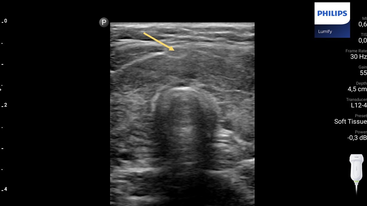
Węzeł chłonny (strzałka) widoczny przy cieśni tarczycy. Głowica liniowa Philips Lumify.

Wzmożone unaczynienie miąższu tarczycy w opcji kolorowego dopplera. Głowica liniowa Philips Lumify.

Rozpoznanie: Autoimmunizacyjne zapalenie tarczycy. Choroba Hashimoto

 

Choroba Hashimoto u dzieci, podobnie jak u pacjentów dorosłych, jest jedną z najczęstszych przyczyn niedoczynności tarczycy. Według piśmiennictwa ta jednostka chorobowa może dotyczyć 1,3% dzieci.


Cechy ultrasonograficzne choroby Hashimoto:

  1. Echogeniczność miąższu tarczycy jest obniżona i niejednorodna. Początkowo zmiany w echogeniczności miąższu są najlepiej widoczne na obwodzie obu płatów. Obniżona echogeniczność jest wynikiem nacieków limfocytarnych i wzmożonego unaczynienia tarczycy.
  2. W tarczycy pacjentów z chorobą Hashimoto mogą być widoczne hiperechogeniczne pasma tworzące podścielisko miąższu tarczycy. Obraz ten nie wynika z włóknienia miąższu tarczycy, a jedynie z obniżenia podstawowej echogeniczności miąższu, dzięki czemu widoczne staje się podścielisko łącznotkankowe.
  3. Cieśń tarczycy pacjentów z chorobą Hashimoto jest pogrubiała > 4 mm, a objętość tarczycy z czasem trwania choroby stopniowo maleje.
  4. U pacjentów z chorobą Hashimoto charakterystyczna jest obecność węzłów chłonnych przedtchawiczych, widocznych poniżej biegunów dolnych tarczycy i przy jej cieśni. Węzły te zdecydowanie rzadziej obserwuje się u pacjentów z chorobą Gravesa-Basedowa.
  5. Unaczynienie miąższu tarczycy widoczne w opcjach dopplerowskich jest wyraźnie wzmożone. Nasilenie przepływu miąższowego jest charakterystyczne w pierwszych latach trwania choroby Hashimoto. U osób dorosłych, z długo trwającym procesem chorobowym, przepływ miąższowy słabnie.
 

Zaleca się, aby dzieci i młodzież z chorobą Hashimoto mieli okresowo wykonywane kontrolne badanie usg (nie rzadziej niż raz w roku), ze względu na wyższe ryzyko pojawiania się guzków tarczycy. Każda nowa zmiana ogniskowa tarczycy u pacjentów z chorobą Hashimoto powinna być oceniona w BAC.

Zapamiętaj:

 

Podstawowe cechy ultrasonograficzne choroby Hashimoto u dzieci i młodzieży:

  • obniżona i niejednorodna echogeniczność miąższu tarczycy
  • pogrubiała cieśń tarczycy
  • wzmożone unaczynienie miąższu tarczycy
  • węzły chłonne widoczne poniżej biegunów dolnych płatów tarczycy i w okolicy jej cieśni

lumify newsletter

Zapisz się do newslettera, aby otrzymywać więcej treści edukacyjnych

Zawsze jesteśmy zainteresowani współpracą.

Daj nam znać, jak możemy Ci pomóc.

1
Wybierz interesujący Cię obszar
2
Szczegóły kontaktu

You are about to visit a Philips global content page

Continue

You are about to visit a Philips global content page

Continue

Naszą witrynę najlepiej wyświetlać w najnowszych wersjach przeglądarek Microsoft Edge, Google Chrome lub Firefox.

Wchodzisz na polską stronę Philips Healthcare
Please select the checkbox

Strona przeznaczona wyłącznie dla osób, które stosują wyroby medyczne jako profesjonaliści, w tym osób wykonujących zawody medyczne, osób działających na rzecz podmiotów ochrony zdrowia lub podmiotów prowadzących obrót wyrobami medycznymi w charakterze profesjonalnym.

Czy jesteś osobą spełniającą powyższe kryteria?