
Ponieważ bezpieczeństwo pacjenta jest wartością nadrzędną, w parze z wartością diagnostyczną badań przesiewowych płuc, powinna iść możliwie najniższa dawka promieniowania. Protokoły do badań przesiewowych płuc z założenia ustawiane są jako niskodawkowe, jednak nowoczesne algorytmy rekonstrukcyjne oparte na sztucznej inteligencji pozwalają na jeszcze głębszą redukcję dawki promieniowania (aż do 80% w porównaniu do standardowej rekonstrukcji FBP).

Dzięki opartym na sztucznej inteligencji rekonstruktorom, oprócz redukcji dawki otrzymane badania charaktetyzują się wyższym poziomem kontrastu oraz znacznie zredukowanym szumem, dzięki czemu nawet niewielkie zmiany widoczne są jeszcze szybciej i dokładniej.

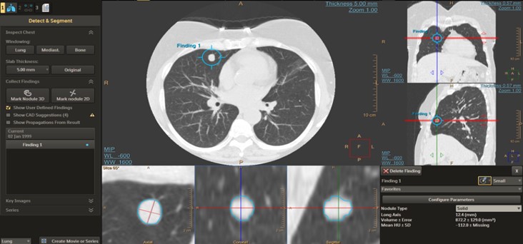
Guzki płucne, zmiany pocovidowe, czy inne dolegliwości mogą być diagnozowane jeszcze szybciej dzięki dedykowanym aplikacjom, nie tylko na konsoli lekarza (AVW), lecz nawet do wstępnego przeglądu na konsoli operatora tomografu – w trakcie lub tuż po wykonaniu badania.

Chcąc przebadać dużą ilość pacjentów musimy zadbać o wysoką przepustowość aparatu. Warto zwrócić uwagę na czas chłodzenia lampy pomiędzy badaniami. Dzięki wysokiej pojemności cieplnej (aż 8 MHU) oraz szybkości chłodzenia lampy 1608 kHU/min lampy w aparatach Philips nie tylko nie przegrzewają się i pozwalają na wykonywanie badania za badaniem (nawet 200 w ciągu dnia pracy!), lecz także charakteryzują się ponadprzeciętną żywotnością.

Dzięki panelom dotykowym po obu stronach gantry, funkcji Precise Position umożliwiającej pozycjonowanie pacjenta niemal jednym kliknięciem oraz intuicyjnemu oprogramowaniu, personel obsługujący aparat może więcej czasu i uwagi poświęcić badanym pacjentom.

Ponieważ bezpieczeństwo pacjenta jest wartością nadrzędną, w parze z wartością diagnostyczną badań przesiewowych płuc, powinna iść możliwie najniższa dawka promieniowania. Protokoły do badań przesiewowych płuc z założenia ustawiane są jako niskodawkowe, jednak nowoczesne algorytmy rekonstrukcyjne oparte na sztucznej inteligencji pozwalają na jeszcze głębszą redukcję dawki promieniowania (aż do 80% w porównaniu do standardowej rekonstrukcji FBP).

Dzięki opartym na sztucznej inteligencji rekonstruktorom, oprócz redukcji dawki otrzymane badania charaktetyzują się wyższym poziomem kontrastu oraz znacznie zredukowanym szumem, dzięki czemu nawet niewielkie zmiany widoczne są jeszcze szybciej i dokładniej.

Guzki płucne, zmiany pocovidowe, czy inne dolegliwości mogą być diagnozowane jeszcze szybciej dzięki dedykowanym aplikacjom, nie tylko na konsoli lekarza (AVW), lecz nawet do wstępnego przeglądu na konsoli operatora tomografu – w trakcie lub tuż po wykonaniu badania.

Chcąc przebadać dużą ilość pacjentów musimy zadbać o wysoką przepustowość aparatu. Warto zwrócić uwagę na czas chłodzenia lampy pomiędzy badaniami. Dzięki wysokiej pojemności cieplnej (aż 8 MHU) oraz szybkości chłodzenia lampy 1608 kHU/min lampy w aparatach Philips nie tylko nie przegrzewają się i pozwalają na wykonywanie badania za badaniem (nawet 200 w ciągu dnia pracy!), lecz także charakteryzują się ponadprzeciętną żywotnością.

Dzięki panelom dotykowym po obu stronach gantry, funkcji Precise Position umożliwiającej pozycjonowanie pacjenta niemal jednym kliknięciem oraz intuicyjnemu oprogramowaniu, personel obsługujący aparat może więcej czasu i uwagi poświęcić badanym pacjentom.


32-rzędowy aparat z lampą oraz oprogramowaniem jak w aparatach najwyższej klasy! Doskonała jakość obrazowania, niezwykła wydajność i wysoka przepustowość w świetnej cenie.

Aparat 64-rzędów, 128 warstw dzięki niezwykle intuicyjnej obsłudze, algorytmom opartym na sztucznej inteligencji i dedykowanym aplikacjom będzie idealnym wyborem zarówno do badan przesiewowych płuc, jak i ogólnej diagnostyki.
Aparat 64-rzędów, 128 warstw dzięki niezwykle intuicyjnej obsłudze, algorytmom opartym na sztucznej inteligencji i dedykowanym aplikacjom będzie idealnym wyborem zarówno do badan przesiewowych płuc, jak i ogólnej diagnostyki.


Dla najwyższych wymagań klinicznych – Tomograf, który oprócz standardowych procedur diagnostycznych, doskonale sprawdzi się także w bardziej wymagającej diagnostyce tętnic wieńcowych oraz innych badaniach kardiologicznych.
Mobilne tomografy Philips – badania przesiewowe płuc, wszędzie tam, gdzie zajdzie potrzeba
You are about to visit a Philips global content page
ContinueStrona przeznaczona wyłącznie dla osób, które stosują wyroby medyczne jako profesjonaliści, w tym osób wykonujących zawody medyczne, osób działających na rzecz podmiotów ochrony zdrowia lub podmiotów prowadzących obrót wyrobami medycznymi w charakterze profesjonalnym.
Czy jesteś osobą spełniającą powyższe kryteria?