Aplikacja kliniczna umożliwia wizualizację i analizę ilościową destruktywnego procesu choroby śródmiąższowej płuc (np. rozedmy płuc). Wspomaga ona pracę użytkownika, przeprowadzając go przez procesy analizy dróg oddechowych, przeglądu i pomiaru wielkości światła dróg oddechowych oraz oceny zaklinowanego powietrza.
System IntelliSpace Portal zapewnia kompletny zestaw narzędzi do zaawansowanej wizualizacji w pulmonologii, pomocnych na każdym etapie opieki nad pacjentem — od wykrycia guzka, przez rozpoznanie i monitorowanie skuteczności leczenia, aż po badania kontrolne. IntelliSpace Portal jest rozwiązaniem do zaawansowanej wizualizacji, które umożliwia elastyczne przeglądanie, analizowanie i wymianę danych, a także sprawne opisywanie badań za pomocą spójnych narzędzi usprawniających organizację pracy.
Trójwymiarowa segmentacja zwapnień uruchamiana jednym kliknięciem myszy
Aplikacja umożliwiająca szybką ocenę ilościowej zwapnienia tętnic wieńcowych (CAC) z zastosowaniem obliczania całkowitej masy zwapnień, skali Agatstona oraz obliczania iloczynu liczby wokseli zawierających wapń i objętości jednego woksela. Aplikacja umożliwia zautomatyzowaną dystrybucję wyników w formie papierowej lub elektronicznej w postaci niestandardowych opisów dostosowanych do potrzeb użytkownika.

Korzyści
Obserwacja rozwoju choroby płuc
Aplikacja CT COPD służy do ilościowej obserwacji destruktywnego procesu choroby śródmiąższowej płuc (rozedmy płuc) oraz lokalizacji obszarów płuca objętych chorobą.

Korzyści
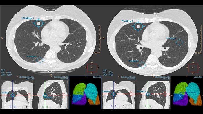
Do badań diagnostycznych oraz niskodawkowych badań przesiewowych CT pod kątem raka płuc
Pakiet zaawansowanych narzędzi do obrazowania pozwalający na segmentację, ocenę ilościową oraz monitorowanie wskazanych przez lekarza guzków płucnych. Aplikację można stosować zarówno w procedurach diagnostycznych, jak i w badaniach przesiewowych pod kątem raka płuc z wykorzystaniem niskodawkowego obrazowania CT (Low Dose CT Lung Cancer Screening)*.

Korzyści
*Badania przesiewowe muszą być przeprowadzane z uwzględnieniem ustalonych kryteriów włączenia do badania według programów/protokołów, które zostały zatwierdzone i opublikowane przez organ rządowy lub stowarzyszenie zrzeszające specjalistów z dziedziny medycyny. W celu uzyskania szczegółowych informacji należy się zapoznać z literaturą kliniczną, w tym z wynikami badania National Lung Screening Trial (N Engl J Med 2011; 365:395–409) oraz powiązanymi publikacjami. Niektóre funkcje mogą być niedostępne w niektórych krajach. W celu uzyskania szczegółowych informacji należy się skontaktować z przedstawicielem firmy Philips.
Wsparcie przeprowadzanej komputerowo wtórnej interpretacji obrazów System wspomaganego komputerowo wykrywania zmian w wielowarstwowych badaniach CT klatki piersiowej
Sztuczna inteligencja pełniąca rolę drugiego diagnosty w wykrywaniu potencjalnie przeoczonych zmian lub guzków.

Korzyści
– wykrywania guzków w płucach potencjalnie wymagających dalszych działań (nie tylko okrągłych obiektów lub obszarów ROI); – korelowania obrazów 2D, 3D i map płuc; – rejestrowania aktualnych lub poprzednio wykrytych guzków; – obliczania zmian, jakim uległy guzki.
*Funkcja CAD jest niedostępna w sprzedaży w USA.
Pomoc w wykrywaniu zatorowości płucnej
Aplikacja CT Pulmonary Artery Analysis (PAA) zapewnia funkcję automatycznej segmentacji tętnic płucnych w oparciu o dane MDCT, przeprowadzanej w celu oceny drożności tętnic płucnych.

Korzyści
Umożliwia retrospektywne wykorzystanie danych spektralnych zapisanych jako obrazy SBI. Możliwe jest przeglądanie danych spektralnych oraz identyfikacja najbardziej istotnych wyników do załadowania do konwencjonalnej aplikacji CT w celu przeprowadzenia rutynowej analizy — nawet do aplikacji, które nie zostały opracowane pod kątem obsługi danych spektralnych.

Korzyści
– Aplikacja do wirtualnej kolonoskopii Virtual Colonoscopy – Aplikacja do analizy obrazów wątroby Liver Analysis – Przeglądarka obrazów pacjentów po urazach Trauma Viewer (Acute Multifunctional Review) – Aplikacja do planowania zabiegów TAVI – Aplikacja do analizy tętnic płuc PAA – Aplikacja do analizy perfuzji mózgu Brain Perfusion – Aplikacja do analizy perfuzji narządowej Functional CT (FCT)
Funkcja tomografu IQon Spectral CT
IQon Spectral CT jest jedynym tomografem wyposażonym w aplikacje CT Spectral Light Magic Glass oraz CT Spectral Magic Glass on PACS, które ułatwiają radiologom przeglądanie i analizowanie wielu warstw danych spektralnych jednocześnie, także z poziomu systemu PACS.

Korzyści
*Dostępna w standardzie z opcją CT Spectral w systemie IntelliSpace Portal.
Funkcja tomografu IQon Spectral CT*
Przeglądarka danych spektralnych (Spectral Viewer) jest aplikacją zoptymalizowaną pod kątem analizy zestawów danych spektralnych uzyskanych za pomocą tomografu IQon Spectral CT. Zapewnia łatwy i szybki wgląd w dane każdego pacjenta oraz umożliwia przeprowadzanie pomocnej w diagnostyce szybkiej oceny ilościowej. Aplikacja ta powstała z myślą o zaspokojeniu potrzeb w zakresie ogólnej wizualizacji danych spektralnych. Ponadto zapewnia dodatkowe narzędzia pomocne w analizie obrazów CT.

Korzyści
* W wyniku rekonstrukcji obrazu w tomografie IQon CT powstaje pojedynczy obiekt DICOM zawierający informacje wystarczające do analizy retrospektywnej — bazowy obraz spektralny (ang. Spectral Base Image, SBI). Obraz SBI zawiera wszystkie wyniki analizy spektralnej, nie ma więc konieczności przeprowadzania dodatkowej rekonstrukcji czy post processingu danych. Aplikacje do analizy spektralnej wykorzystują obraz SBI do uzyskania różnych wyników spektralnych.
Usprawniony przebieg pracy w przypadku badań kontrolnych i analizy obrazów pacjentów onkologicznych
Multi Modality Tumor Tracking (MMTT) jest oprogramowaniem do post-processingu obrazów, które służy do monitorowania stanu choroby i oceny odpowiedzi na leczenie.

Korzyści
You are about to visit a Philips global content page
ContinueStrona przeznaczona wyłącznie dla osób, które stosują wyroby medyczne jako profesjonaliści, w tym osób wykonujących zawody medyczne, osób działających na rzecz podmiotów ochrony zdrowia lub podmiotów prowadzących obrót wyrobami medycznymi w charakterze profesjonalnym.
Czy jesteś osobą spełniającą powyższe kryteria?