70% radiologów uważa wskazania neurologiczne za trudne do diagnozowania głównie ze względu na brak skutecznych technik obrazowania i wizualizacji¹. Celem firmy Philips jest opracowywanie rozwiązań do jak najtrafniejszej diagnostyki i dobierania najskuteczniejszych metod leczenia u wszystkich pacjentów z chorobami układu nerwowego. Firma Philips wprowadza w tym roku zestaw nowatorskich strategii z zakresu obrazowania i wizualizacji wykorzystujących zalety cyfrowej technologii dStream. Mogą one umożliwić trafniejsze diagnozowanie nawet złożonych przypadków neurologicznych i zapewnić dostęp do większej ilości informacji podczas obrazowania czynnościowego OUN. Jest to istotny krok w kierunku skuteczniejszej diagnostyki chorób układu nerwowego i pomocy większej liczbie pacjentów z użyciem obrazowania MR. ¹ Badanie rynku TMTG 2016
¹ Funkcja SmartExam nie jest dostępna w przypadku pacjentów z implantami warunkowo dopuszczonymi do obrazowania MR
Dzięki wysokiej czułości SWIp zwiększa kontrast krwi odtlenowanej (żylnej) lub złogów wapnia, a w połączeniu z innymi danymi klinicznymi może pomóc w diagnostyce różnych zaburzeń neurologicznych. SWIp zapewnia zależne od podatności magnetycznej obrazowanie 3D mózgu w wysokiej rozdzielczości, które można z łatwością włączyć w standardową praktykę szpitala.
MultiVane XD pozwala na akwizycję obrazów diagnostycznych w wysokiej rozdzielczości nawet w przypadku wykonywania przez pacjenta intensywnych ruchów dzięki kompensacji ruchu oraz zapewnia krótki czas skanowania*. Sekwencja MultiVane XD działa w wielu płaszczyznach i można ją stosować w różnych metodach obrazowania (T1-zależnych, T2-zależnych, FLAIR), aby zwiększyć pewność diagnostyczną.
Obrazowanie dyfuzyjne DWI TSE zapewnia doskonały stosunek sygnału do szumu i ostrość obrazu przy jednoczesnym zmniejszeniu zniekształceń geometrycznych*, zwłaszcza w obszarach trudnych do uwidocznienia, takich jak ucho wewnętrzne.
mDIXON XD TSE to nowa technika supresji sygnału od tkanki tłuszczowej pozwalająca na równomierne, pełne i spójne obrazowanie z tłumieniem sygnału od lipidów. Zapewnia możliwość uzyskania do czterech typów obrazów podczas jednego skanowania, w tym obrazów z tłumieniem lub bez tłumienia sygnału od tkanki tłuszczowej, w rutynowym czasie skanowania i z typową rozdzielczością, którymi można z łatwością zastąpić swoje ulubione rutynowe skany TSE. Dzięki uproszczeniu rutynowych badań TSE technika mDIXON XD TSE pozwala usprawnić obrazowanie.
3D ASL pozwala na pewną i powtarzalną ocenę ilościową perfuzji mózgu z dokładnością 15%¹ bez użycia środka kontrastowego i z pełnym pokryciem mózgu, a także lepsze tłumienie sygnału od tła². Obejmuje również funkcję w pełni automatycznego obliczania map ASL znakowanych kolorem.
Aplikacja SmartExam* zapewnia powtarzalność wyników planowania dzięki inteligentnemu oprogramowaniu, które automatycznie planuje geometrie skanowania w oparciu o zatwierdzone preferencje skanowania. Umożliwia to ustandaryzowanie badań MR i pomaga zwiększyć spójność wyników badań kontrolnych u jednego pacjenta oraz u różnych pacjentów.
3D BrainVIEW to zaawansowana technika obrazowania 3D TSE umożliwiająca pozyskiwanie danych izotropowych wysokiej rozdzielczości w dowolnej płaszczyźnie, w tym skośnej, bez utraty rozdzielczości, co pomaga zwiększyć pewność podczas diagnozowania zmian chorobowych.
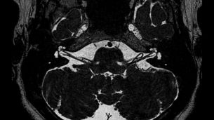
Technika 3D TSE umożliwia uzyskiwanie T2-zależnych obrazów w wysokiej rozdzielczości. Impulsy stosowane w obrazowaniu DRIVE przyspieszają wykonywanie badań techniką 3D TSE dzięki skróceniu czasów TR, a charakterystyczna dla sekwencji 3D DRIVE niższa niż w przypadku sekwencji wielowarstwowych wrażliwość na utratę sygnału podczas obrazowania przepływu płynów sprawia, iż są one szczególnie przydatne w zapewnianiu lepszej wizualizacji płynu w badaniach obrazowych wewnętrznych przewodów słuchowych.
Obrazowanie dyfuzyjne single-shot EPI (DWI) można stosować jako nieinwazyjną metodę oceny struktur tkankowych i w celu uwidaczniania zmian chorobowych na podstawie stanu przepływu płynów na poziomie komórkowym. Dodatkowe impulsy wstępne gradientu dyfuzji mogą stosować trzy kierunki dyfuzji i maksymalnie 16 wartości b. Obrazowanie single-shot jest wysoce niezależne od ruchu i pozwala na uzyskiwanie obrazów DWI oraz map ADC/eADC.
Wizualizacja przebiegu szklaków nerwowych w istocie białej dzięki danym z obrazowania tensora dyfuzji (DTI). Uwidacznianie, analiza i przetwarzanie danych przebiegu w czasie rzeczywistym przy minimalnej liczbie kliknięć myszą. Wykonywanie ponadto przedoperacyjnego planowania zabiegu chirurgicznego, oceny pooperacyjnej oraz diagnostyki ogólnej przebiegu szlaków nerwowych wokół guzów i zmian chorobowych w obrębie obszarów czynnościowych mózgu. Obsługa sekwencji z maksymalnie 32 kierunkami dyfuzji i o 16 wartościach b, a także automatyczne obliczanie map anizotropii frakcjonowanej.
Sekwencje obrazowania perfuzji w oparciu o obrazy T2*-zależne z krótkimi czasami skanowania i długimi czasami TE. Mapy perfuzji T2* obejmujące średni czas przejścia (ang. Mean Transit Time, MTT), czas do osiągnięcia wartości szczytowej (ang. Time to Peak, TTP), czas dotarcia (ang. Time of Arrival, T0), różnicę w przepływie (ang. Negative Integral, NI) oraz wskaźnik (ang. Index).
W pełni zintegrowany z interfejsem akwizycji użytkownika, kompleksowy zestaw badań spektroskopii protonowej metodą pojedynczego woksela, wielu wokseli i spektroskopii wielowarstwowej. Połączenie technologii obrazowania spektroskopowego Turbo, dS SENSE i matrycy anizotropowej pozwala na skrócenie czasu pozyskiwania obrazu. Wbudowany pakiet oprogramowania SpectroView Analysis umożliwia wizualizację i przetwarzanie wszystkich danych spektroskopowych.
Zaawansowane obrazowanie układu nerwowego z akwizycją danych BOLD umożliwia uwidocznienie aktywnych obszarów czynności zadaniowych w mózgu. Dostarczanie i sterowanie impulsami stymulacyjnymi uwzględniono w specjalistycznych protokołach ExamCard, co ułatwia, przyspiesza i poprawia uzyskiwanie sekwencji fMRI. Pakiet iView BOLD Analysis służy do przetwarzania w czasie rzeczywistym danych sekwencji BOLD w mapy czynnościowe obszarów aktywności.
MultiBand SENSE pozwala znacząco skrócić czas badania mózgu przez jednoczesne wzbudzanie sygnału z wielu warstw. Skrócenie minimalnego czasu TR w badaniu fMRI pozwala uzyskać większe pokrycie anatomiczne lub zastosować wyższą rozdzielczość czasową. W sekwencjach DWI/DTI możliwe jest uzyskanie lepszego pokrycia anatomicznego lub uzyskanie większej liczby kierunków dyfuzji¹. Aplikacja MultiBand SENSE pozwala na wykonywanie badań fMRI oraz DTI szybciej, ale z zachowaniem wysokiej rozdzielczości².
Kompleksowy pakiet NeuroScience zapewnia wgląd w dane dotyczące czynności mózgu dzięki obsłudze badań dyfuzyjnych w wielowarstwowych akwizycjach z maksymalnie 32 wartościami b i 128 różnymi kierunkami dyfuzji. Umożliwia on wykonywanie badań fMRI z redukcją artefaktów próbkowania, zwiększeniem pamięci na dane, monitorowaniem spójności wyników sekwencji fMRI pozyskiwanych w płaszczyźnie wzdłużnej, możliwością wykonywania mapowania B0 na potrzeby korekty danych w trybie offline i łatwym w obsłudze narzędziom do eksportu danych w różnych formatach.
SyntAc pozwala na obrazowanie MR z użyciem pojedynczego skanu do analizy ilościowej, którego dane mogą być przetwarzane w zaawansowanym oprogramowaniu firmy zewnętrznej* w celu syntezy obrazów MR o różnym kontraście, map frakcji tkanki mózgowej i/lub map segmentacji mózgu.



Od współpracy Dr Tetsuya Yoneda z Uniwersytetu w Kumamoto w Japonii relacjonuje swoją współpracę z firmą Philips nad techniką SWIp opracowaną na potrzeby obrazowania zależnego od podatności magnetycznej.
…po praktykę kliniczną Dr Chip Truwit z Centrum Medycznego Hrabstwa Hennepin w Minneapolis w USA wyjaśnia, dlaczego technika SWIp stała się nieodzownym elementem obrazowania MR w przypadku urazów.
Istotne innowacje w dziedzinie obrazowania MR
W firmie Philips opracowujemy innowacje w dziedzinie obrazowania MR przydatne dla radiologów, od których wymaga się coraz to skuteczniejszego i szybszego wykonywania ciągle rosnącej liczby badań, lekarzy potrzebujących rzetelnych wyników na potrzeby dokonywania trafnych rozpoznań, naukowców szukających odpowiedzi na ważkie pytania i pacjentów pragnących korzystać z bardziej komfortowej i dającej proste odpowiedzi opieki medycznej.
Współpraca z Uniwersytetem stanu Vermont nad zagadnieniami z dziedziny rozwoju poznawczego
Richard Watts i Hugh Garavan z Uniwersytetu stanu Vermont rozmawiają o współpracy z firmą Philips w odniesieniu do aplikacji MultiBand SENSE i sposobu jej stosowania w protokołach ich badania.

Przypadki kliniczne dotyczące niemal wszystkich struktur anatomicznych Ponad 100 przypadków klinicznych z całego świata udostępnionych przez kolegów z branży, które ukazują, jak cyfrowe technologie obrazowania MR firmy Philips pozwalają spełnić potrzeby współczesnego obrazowania.

Odwiedź forum internetowe NetForum, aby dzielić się swoim doświadczeniem klinicznym oraz uzyskiwać wiedzę od innych użytkowników sprzętu firmy Philips na całym świecie.

Sprawdź, jak firma Philips może pomóc w doborze cewek MR na miarę Twoich potrzeb z zakresu obrazowania. Dowiedz się więcej na temat oferty naszych cewek MR.
You are about to visit a Philips global content page
ContinueStrona przeznaczona wyłącznie dla osób, które stosują wyroby medyczne jako profesjonaliści, w tym osób wykonujących zawody medyczne, osób działających na rzecz podmiotów ochrony zdrowia lub podmiotów prowadzących obrót wyrobami medycznymi w charakterze profesjonalnym.
Czy jesteś osobą spełniającą powyższe kryteria?